茶渋やタバコのヤニ汚れなど、自宅での歯磨きでは落とせない歯の着色汚れ(ステイン)や黒ずみを、スイスEMS社のエアフローにより歯や歯肉にダメージを与えずにキレイに除去します。
このページではエアフローの料金や保険適用クリーニングとの違いからメリット・デメリットまでご紹介いたします。
戸塚で歯のクリーニングなら、OCEAN’S歯科へ
受付時間:10時〜20時(毎週火曜日を除く)
エアフローとは?
エアフロー(別名:ジェットクリーニング)とは、歯科医院で受けることができる歯のクリーニングの一種です。
専用のパウダーをジェット水流で歯に吹き付けることで、「茶渋」や「タバコのヤニ」などの歯の着色汚れ(ステイン)や黒ずみを効果的に落とすことができます。
さらに、虫歯や歯周病の原因となる歯にこびりついた細菌の塊「バイオフィルム」も除去することもできますので、予防にも効果的です。

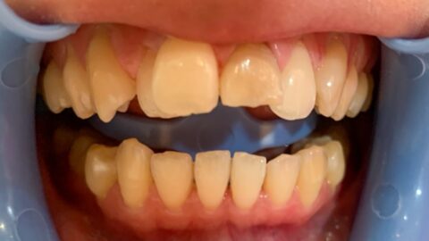
エアフローの症例【ビフォーアフター画像】


↑スライドして比較できます↑


↑スライドして比較できます↑
エアフローの料金
エアフローは、自費診療となります。健康保険の適用はできませんのでご注意ください。

※表示価格はすべて税込みです。
| 1ブロック | 990円 |
| 片顎(3ブロック) | 2,970円 |
| 両顎(6ブロック) | 5,500円 |
WEB予約なら24時間受付中
受付時間:10時〜20時(毎週火曜日を除く)
保険適用クリーニングとの違い

保険適用の歯のクリーニング(歯石除去)では、超音波スケーラーやハンドスケーラーと呼ばれる器具を使って、歯石や歯垢を剥がしたり弾き飛ばしたりして除去していきます。あくまでも治療の一環として行うため、病気の原因となる”細菌の塊”を取り除く目的で行いますので、2回以上の通院が必要になることがあります。

エアフローでは、専用のパウダーとジェット水流の力で歯垢だけでなく茶渋やタバコのヤニによる着色汚れなどの”細かな汚れ”を落とすことができるため、主に予防目的や審美目的で行われています。また、歯と歯の間や矯正装置の隙間など、超音波スケーラーなどの機械では届かない場所でもエアフローであれば効果的にクリーニングができます。
エアフローの効果
着色汚れに効果的です
茶渋やタバコのヤニなどの着色汚れは、普段の歯磨きだけではなかなか落とすことができません。エアフローであれば、微細なパウダーを吹き付けることで細かい汚れでも落とすことができます。
短時間できれいにできる
エアフローは、高圧洗浄機のように効率的にお掃除ができます。1回30~60分と短い時間で歯を綺麗にクリーニングできます。さらに自由診療ですので通院の必要もありません。
虫歯や歯周病の予防にも
虫歯や歯周病の原因となるバイオフィルムは、歯と歯の間や歯と歯茎の間(歯周ポケット)などの細かい場所にもこびりついています。エアフローであれば小さな隙間でも隅々まで綺麗にクリーニングできます。
エアフローのデメリット
自由診療です
エアフローは、治療目的のクリーニングではありませんので、健康保険は適用できません。
痛みを感じる方もいます
エアフローは痛みの少ない設計になっておりますが、歯茎や舌に当たるとチクチクすることがあります。また、知覚過敏の方の場合は、痛みを感じる場合がありますので、ご遠慮なくお申し付けください。
歯本来の色を変えることはできません
エアフローは、歯の表面に付着した汚れを除去することで歯を綺麗に見せる効果があります。しかし、歯そのものの色を変えることはできませんので、ホワイトニングをおすすめする場合もございます。
東戸塚でエアフローならOCEANS歯科へ
歯は一度削ったり抜いたりしてしまうと完全に元に戻すことはできません。「虫歯や歯周病になってから歯医者へ行く」のではなく、「虫歯や歯周病にならないために歯医者へ行く」ことを心がけましょう。
東戸塚にあるOCEAN’S DENTAL CLINIC(オーシャンズデンタルクリニック)では、エアフローの他にもPMTCや保険適用の歯石除去など、プロによる歯のクリーニングを複数ご用意しております。この機会に是非お気軽にご利用ください。
火曜日を除く朝10時〜夜20時まで診療
受付時間:10時〜20時(毎週火曜日を除く)
