0800-111-8899
営業時間:10:00〜20:00(毎週火曜日を除く)
24時間WEB予約

「症例画像」一覧(3ページ目)

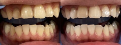
OCEAN’S DENTAL CLINICの治療症例一覧ページです。治療例や治療前後のビフォー・アフター写真などを掲載しておりますので、ご参考にしていただければと思います。

0800-111-8899
毎週火曜日を除く10時〜20時