【デュアルホワイトニング】40代女性の症例
2022年6月2日
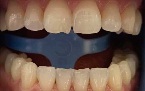
デュアルホワイトニングでご来院された40代女性の症例画像です。透明感のある白く美しい歯に生まれ変わりました✨
1回目の施術(2022年6月2日)


↑スライドして比較できます↑
2回目の施術(2022年6月13日)


↑スライドして比較できます↑
3回目の施術(2022年6月29日)


↑スライドして比較できます↑
デュアルホワイトニングのご予約はこちら
通話料無料フリーダイヤル
0800-111-8899
受付時間:10時〜20時(毎週火曜日を除く)
